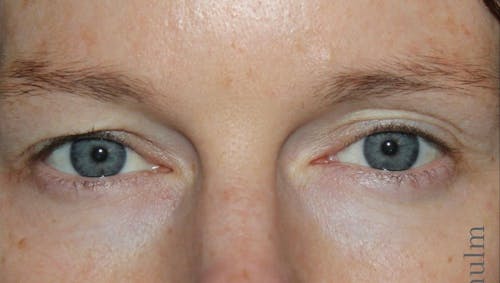
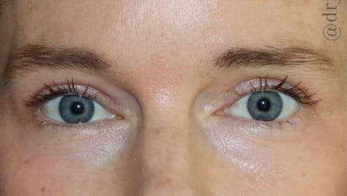
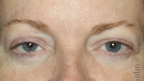
Restore a brighter, more rested appearance with eyelid surgery in Charleston, SC. Dr. Jason Ulm, our double board-certified plastic surgeon, corrects drooping eyelids, puffiness, and excess skin through individualized planning and uncompromising surgical standards.
What Does Eyelid Surgery Treat?
Eyelid surgery corrects age-related changes around the eyes that can make you look tired, heavy, or older than you feel. Common concerns addressed with this procedure include:
- Drooping or heavy upper eyelids
- Excess upper-eyelid skin that obscures natural creases
- Under-eye bags caused by displaced fat
- Puffiness of the lower eyelids
- Loose or sagging lower-eyelid skin
- Fine lines and wrinkles around the eyes
- A tired, aged, or worn appearance
























