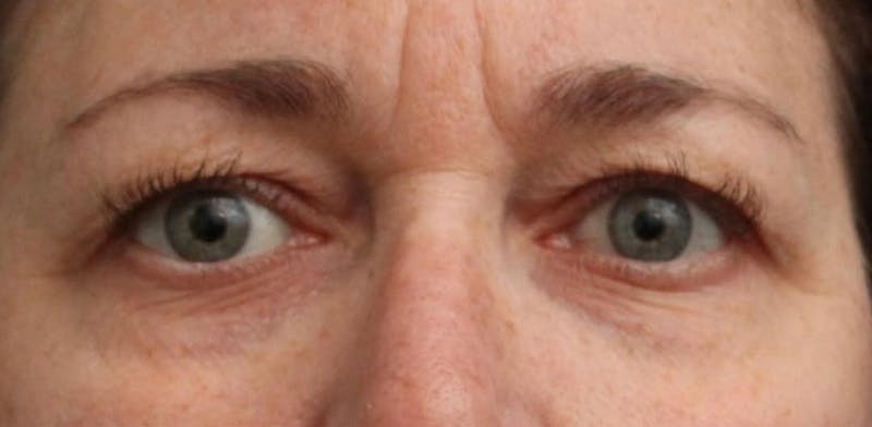
This beautiful patient is only 6 weeks out from her upper blepharoplasty. Dr. Ulm brightened up her eyes with with a natural, elegant & youthful look by removing the excess skin.
This beautiful patient is only 6 weeks out from her upper blepharoplasty. Dr. Ulm brightened up her eyes with with a natural, elegant & youthful look by removing the excess skin.