Nominated again for “Best of Charleston” Plastic Surgeon


Now at a New Location! 2671 Brickside Ln., Mount Pleasant, SC 29466

843 884 3277 2671 Brickside Ln., Mount Pleasant, SC, 29466

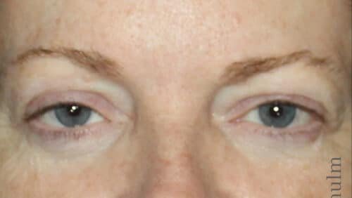
Eyelid Surgery Before and After Gallery Photos - Case #11351

Our Testimonials

See what Clients are saying

Learn More

 

Contact Us




    I agree to the Terms of Use